• aikadental2023@gmail.com
  • +91 81481 70614, 044-47911800

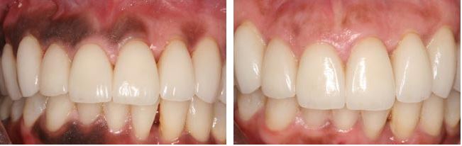
Gum Depigmentation

Gum depigmentation, also known as gum bleaching, is a procedure used in Cosmetic dentistry to lighten or remove black spots or patches on the gums consisting of melanin. Melanin in skin is very common in inhabitants in many parts of the world due to genetic factors. Melanin pigmentation in skin, oral mucosa, inner ear and other organs is a detoxification mechanism. Some toxic agents bind to melanin and will move out of the tissue with the ageing cells and are expelled to the tissue surfaces. Also in the gums and oral mucosa a visible pigmentation is most often caused by genetic factors, but also by tobacco smoking or in a few cases by long-term use of certain medications. If stopping smoking or change of medication do not solve the problem with a disfigurating melanin pigmentation, a surgical operation may be performed. The procedure itself can involve laser ablation techniques.

Do you want to get the best Dental Treatment?